BLOG

How White Spot Lesions Happen With Braces
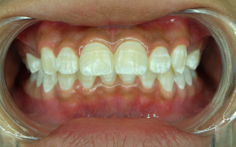
Recently, the dental industry has witnessed a rise in the popularity of orthodontic treatments. The reasons for the shift are numerous, involving an increase in

Managing Post-Orthodontic Discomfort When It Appears
There are significant benefits for patients who receive orthodontic care. Our teeth’ alignment is essential in protecting their overall health, even in our earliest years.

Why More Pediatric Dentists Are Pursuing Orthodontic Training
Dental practitioners are embracing the benefits of expanding their education to new fields of dentistry. While these dentists don’t change the nature of their practice,

How Hypnosis Benefits Dental Patients
Hypnosis is one of those topics you don’t expect to come up with in connection with dentistry. However, the search for methods that can address

How Dentists Identify Oral Cancer In Patients
Oral cancer is one of the oral health concerns that your dentist checks for every time you’re in their office. This is typically done quietly

Pediatric Robots: A New Companion For Improving Dental Care
It’s common for children to experience a bit of anxiety about taking a trip to the dentist. Children with no experience with dental care may

Investigating Your Short-Term Orthodontic Options
When you’re receiving orthodontic care, the underlying goal is to eliminate imperfections in the alignment and position of your teeth. Your dentist uses years of

The Oral Signs of Child Abuse and Neglect
There may be no greater struggle a medical professional faces than noticing what may be the signs of child abuse. Except for a few states,

How We Transition Pediatric Patients To Adult Treatment
There comes the point during your child’s time with a pediatric clinic that your child must make a transition to an adult dental care practice.

Why Mail-In Orthodontic Aligners Can Worsen Your Oral Health
There’s been a lot of talk about mail-in orthodontic appliances since the pandemic’s start. This upsurge resulted from dental patients trying to find ways to

What is The Orthodontic Anchorage Control Technique?
Orthodontic care is called for when you need to adjust the position or alignment of your teeth. Getting ready to receive orthodontic care requires undergoing

Treatment of Dental Anxiety Using Cognitive Behavioral Therapy
Children are often reluctant about going to the dentist, and everyone knows this. However, some children experience genuine anxiety when faced with the dentist. This

How Pediatric Crowns Help In Adult Development
So you’ve just been told by your dentist that your child needs dental restoration. Many parents’ first reaction in this situation is, “Why? Aren’t they

How To See Early Signs of Pediatric Tooth Decay
When the bacteria streptococcus mutans have had an opportunity to remain unchecked, tooth decay can occur. It often begins with a thin layer of sticky

How Dental Crowns Protect Children’s Teeth
It can be unnerving and even surprising to discover that your pediatric dentist is recommending a crown for your child. Most parents are under the